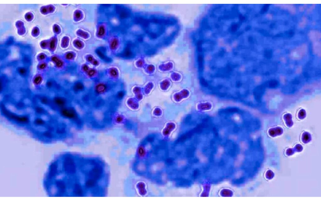
Científicos descubrieron una nueva cepa de la bacteria Neisseria gonorrhoeae, llamada H041 mutante que causa la gonorrea, que es resistente a todos los antibióticos disponibles.
Los especialistas de la investigación internacional coordinada por el Laboratorio Sueco de Referencia identificaron que dichas mutaciones crean resistencia a los antibióticos. Se presume que el primer caso de gonorrea resistente a los antibióticos, se encontró en Japón.
Por lo anterior, la Organización Mundial de la Salud (OMS) a través del programa de vigilancia antimicrobiana gonocócica (GASP) informó que se debe asegurar el manejo clínico efectivo de los pacientes infectados y sus parejas sexuales para evitar contagios masivos.
Un estudio publicado en PLOS medicine indica que la resistencia a los antimicrobianos (RAM) en Neisseria gonorrhoeae compromete seriamente el manejo y control de la gonorrea.
Para ello se debe incluir la prevención mejorada, el diagnóstico precoz a través del desarrollo de pruebas precisas, rápidas y de punto de atención, el manejo de la vigilancia mejorada y el uso de antimicrobianos.
La gonorrea es una infección de transmisión sexual (ITS) causada por Neisseria gonorrhoeae (gonococo), y es una de las principales prioridades de salud pública a nivel mundial, de acuerdo con el estudio.
Entre las prioridades clave del plan de acción global de la Organización Mundial de la Salud (OMS) para controlar la propagación y el impacto de la resistencia a los antimicrobianos (RAM) en Neisseria gonorrhoeae está abogar por una mayor conciencia sobre el uso correcto de antibióticos.
Al respecto David Livermore, director del laboratorio de control de resistencias a antibióticos de la Agencia de Protección de la Salud (HPA) del Reino Unido, dijo a la BBC que la prevención es sumamente importante.
La forma más confiable de protegerse de las infecciones de transmisión sexual (ITS), incluida la gonorrea, es utilizar distintos métodos anticonceptivos como el condón, con todas las parejas sexuales nuevas o casuales.
[Publicidad]
Más información

Tendencias
¿Qué pasó con Alberto del Río? De ídolo de la WWE a protagonista de polémicas

Municipios
Investigación por electricistas secuestrados y liberados en Matehuala no está cerrada, asegura Fiscalía de SLP

Tendencias
Detienen a Alberto del Río, el luchador potosino es acusado de violencia familiar

Metrópoli
¡No los tires! Cambia tus electrónicos viejos por árboles en Soledad

























